La infección en las encías es el resultado de un ataque bacteriano en los tejidos de las encías. Existen varios tipos de esta enfermedad siendo el más común la gingivitis. Acá te enseñamos los tratamientos caseros más comunes y efectivos para Curar La Infección en las Encías.
Síntomas.
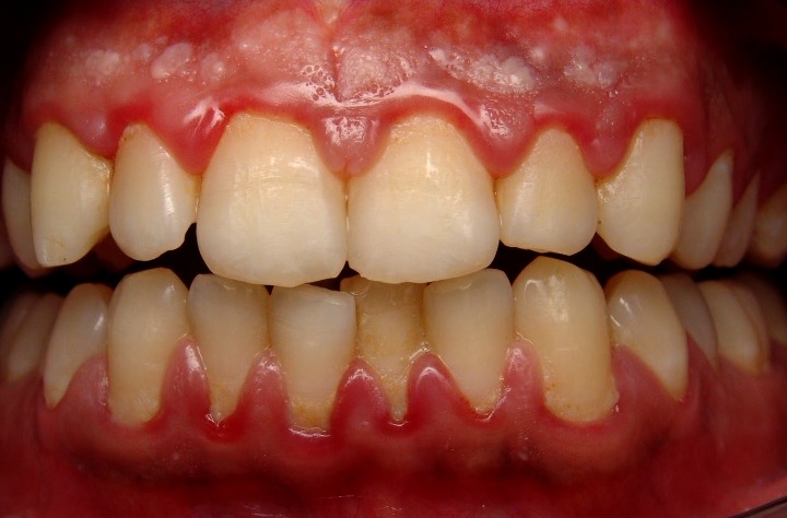
- Encías rojas, inflamadas o retraídas. Las encías sanas son firmes y de color rosado. Si éstas se vuelven rojas, se inflaman, se ablandan al tacto o comienza a aparecer sangre con frecuencia en el lavamanos cuando te cepillas los dientes, es muy probable que tengas gingivitis.
- Sangre en el lavamanos. Aunque parece algo común, nunca es natural el sangrado durante el cepillado o el uso de hilo dental. Puedes pensar que te estás cepillando demasiado fuerte, pero ver sangre continuamente en el lavamanos es un signo de probable gingivitis y se deben tomar medidas preventivas antes de que los síntomas se agraven.
- Mal aliento. El mal aliento también puede indicar una etapa inicial de la enfermedad periodontal. El mal aliento en general es consecuencia de la acumulación de placa en la lengua y es un signo de que la placa y las bacterias no se están eliminando correctamente.
- Dolor, sensibilidad y otros síntomas avanzados. Si no se toman medidas sobre las afecciones bucales, los síntomas de la gingivitis pueden empeorar y convertirse en periodontitis. El dolor al masticar, la sensibilidad al calor y al frío, las encías retraídas y los dientes flojos son signos de un avance en la enfermedad de las encías, lo que se conoce como periodontitis moderada o avanzada.
Prevención.
- Fijar hábitos de cuidado oral diarios. La prevención de la gingivitis consiste en mantener hábitos de cuidado oral básicos todos los días. Cepillar los dientes dos veces al día y usar hilo dental una vez al día ayuda a evitar que la placa cause problemas. Sin embargo, solo con el cepillado se llega al 25% de la boca.
- Visita a tu dentista regularmente. Visitar al dentista por lo menos una vez cada seis meses es una excelente manera de mantener la boca limpia y saludable. Las limpiezas profesionales y los chequeos de rutina pueden prevenir la mayoría de los problemas de salud bucal como la enfermedad de las encías. El dentista puede detectar signos de enfermedad de las encías antes que tú.
1. Agua Salada.
Este es uno de los métodos más útiles y efectivos para el tratamiento de la infección en las encías. Sólo tiene que añadir dos cucharadas de sal al agua tibia y hacer gárgaras con esta combinación al menos dos veces al día. Lo ayudará a aliviar el dolor relacionado con la infección en las encías y eliminar la infección. También ayuda a sacar el “pus” o “fluido” de las encías. La sal mata las bacterias dañinas y contrae las encías inflamadas, reduciendo así el riesgo de proliferación de las bacterias.
2. Limón.
El limón tiene fuertes propiedades antiinflamatorias que alivian los síntomas de la infección en las encías. También es rico en vitamina C que fomenta la salud general de las encías. Exprima el jugo de un limón, añada una pizca de sal y haga gárgaras con esta mezcla. Alternativamente se puede preparar el jugo de limón en agua caliente y consumir dos veces al día para obtener resultados efectivos.
3. Ajo.
El ajo posee alicina es un compuesto bien conocido por sus propiedades antibacterianas, antivirales y anti-inflamatorios. Por lo tanto, es muy eficaz para aliviar el dolor causado por la infección de las encías. El ajo evita que las bacterias causantes de la infección prosperen dentro de su boca y por lo tanto inhibe enfermedades en las encías graves como la periodontitis. Todo lo que tiene que hacer es aplastar unos dientes de ajo, añadir una pizca de sal a ellos y aplicarlo en las encías afectadas.
4. Canela.
Recientes estudios han demostrado que consumir té de canela mantiene las encías saludables y fuertes. Es eficaz contra la infección en las encías debido principalmente a sus propiedades antifúngicas y antimicrobianas. Puede preparar la canela en el té o aplicar directamente aceite esencial de canela en las encías afectadas.
5. Aceite de clavo.
El clavo de olor es muy apreciado por su efectos analgésicas sobre el dolor causado por la infección en las encías. El aceite de clavo es eficaz en este tipo de tratamiento debido a sus propiedades antisépticas, antimicrobianas, antifúngicas, antibacterianas, anti-inflamatorias, anestésicas y antioxidantes. Por consiguiente, el clavo revierte la infección, así como dolor en las encías. El aceite de Clavo puede ser aplicado en las partes afectadas de la encía. También se pueden mezclar cantidades iguales de peróxido y aceite de clavo y hacer una pasta de él y aplicarlo sobre la parte afectada.
6. Pimienta de cayena (Chile).
La Pimienta de cayena también llamado chile o ají alivia la inflamación causada por la infección en las encías. El chile tiene fuertes propiedades anti-inflamatorias gracias a que contiene capsaicina que no sólo alivia el dolor, sino también la disminuye la inflamación. Puede añadir unas gotas de tintura de cayena a su cepillo de dientes y cepillar sus dientes de manera que tenga un ligero contacto con las encías. Haga este procedimiento al menos dos veces al día para el alivio rápido.
7. Áloe vera.
Los múltiples beneficios del áloe vera en la curación de diversas enfermedades han sido bien establecidos. También es eficaz en la curación de infecciones en las encías. El áloe vera previene la formación de placa en las encías y alrededor de los dientes ya que contiene ácidos carboxílicos grasos que tienen fuertes propiedades anti-inflamatorias. Además, el áloe vera contiene saponinas que tienen fuertes propiedades antivirales, antimicrobianas y antifúngicas. También contiene aloína, así como emodina que alivian el dolor causado por la infección de las encías. Todo lo que tiene que hacer es masajear las encías infectadas con un poco de gel de aloe vera.
8. Té de manzanilla.
La Manzanilla, con sus sorprendentes propiedades antiinflamatorias, reduce la inflamación causada en las encías ayudando a reducir el tiempo necesario para la cura. Hay varias formas de uso de manzanilla como un tratamiento para la infección en las encías. Usted puede preparar en té y tomarlo todos los días o sólo utilizarlo como un enjuague bucal.
