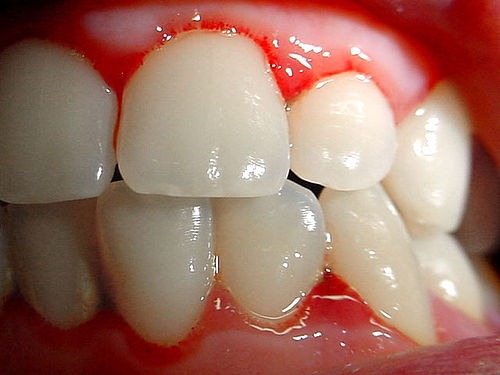
Síntomas comunes cuando hay falta de vitamina C en la dieta. Irritabilidad y estado de ánimo variable son otra consecuencia. Si tienes gingivitis, inflamación de las encías o te sangran fácilmente, considera la falta de vitamina C en tu dieta.

Decretos Metafísicos "Yo Soy" Oficial